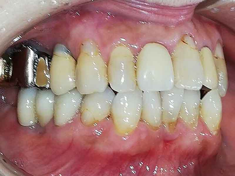
治療例
右下奥歯3本を治療
破折して保存不可能な歯根を抜いて、保存可能な歯根を残してブリッジを作成しました。

After
術後

After
術後

Before
術前

After
術後(抜歯後)
模型
模型
Medical expenses
※治療に関する価格は治療当時の価格です。現在の価格と異なる場合があります。
| ジルコニアブリッジ | 抜歯などの保険治療:約4,000円(税込) ジルコニアブリッジの費用:300,000円(税込) |
|---|---|
| 治療期間 | 2か月(抜歯後の歯茎の治癒を待つ期間を含む) |
Risks and side effects
特徴
歯を削る量が最小限で審美的なブリッジの装着が可能です。
金属を用いていないため、金属アレルギーの心配がありません。
リスク
歯の神経が生きている場合はしみることがあり、神経を取らなければいけない場合があります。
ジルコニアは十分に硬い材質ですが金属に比べて脆く、強い衝撃が加わると割れることがあります。
咬む力が強い方は割れてしまうことがあります。
診療予約・お問い合わせ
診療時間内(木・日・祝日休)
※祝日のある週の木曜は診療いたします。
| 診療時間 | 月 | 火 | 水 | 木 | 金 | 土 | 日 |
| 9:00~ 12:30 |
● | ● | ● | / | ● | ● | / |
| 14:30~ 18:30 土曜は18:00迄 |
● | ● | ● | / | ● | ▲ | / |
| 診療時間 | 月 | 火 | 水 | 木 | 金 | 土 | 日 |
| 9:00~12:30 | ● | ● | ● | / | ● | ● | / |
| 14:30~18:30 土曜は18:00迄 |
● | ● | ● | / | ● | ▲ | / |
058-391-2122/診療時間内(木・日・祝日休)
※祝日のある週の木曜は診療いたします。