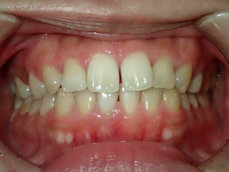
治療例
【左】術前 【右】術後
中央のバーを左右に動かすと比較できます

Before
術前

After
術後

Before
術前

After
術後
Medical expenses
※治療に関する価格は治療当時の価格です。現在の価格と異なる場合があります。
| ウォーキングブリーチ | 15,000円(税込み) |
|---|---|
| 治療期間 | 1~2ヶ月 受診回数:3回 |
Risks and side effects
診療予約・お問い合わせ
診療時間内(木・日・祝日休)
※祝日のある週の木曜は診療いたします。
| 診療時間 | 月 | 火 | 水 | 木 | 金 | 土 | 日 |
| 9:00~ 12:30 |
● | ● | ● | / | ● | ● | / |
| 14:30~ 18:30 土曜は18:00迄 |
● | ● | ● | / | ● | ▲ | / |
| 診療時間 | 月 | 火 | 水 | 木 | 金 | 土 | 日 |
| 9:00~12:30 | ● | ● | ● | / | ● | ● | / |
| 14:30~18:30 土曜は18:00迄 |
● | ● | ● | / | ● | ▲ | / |
058-391-2122/診療時間内(木・日・祝日休)
※祝日のある週の木曜は診療いたします。