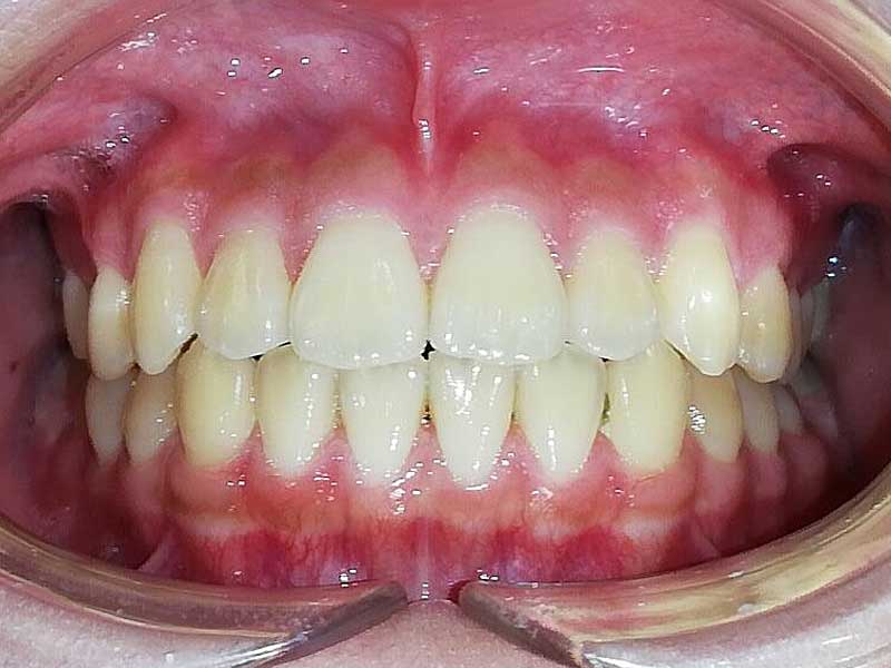
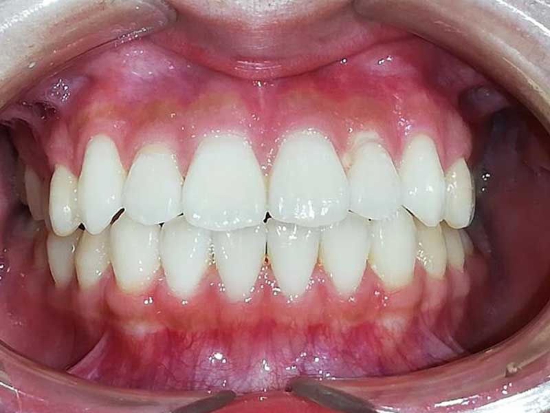
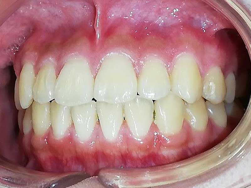
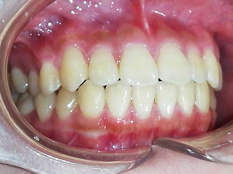
治療例
【左】術前 【右】術後
中央のバーを左右に動かすと比較できます

Before
術前

After
術後

Before
術前

After
術後

Before
術前

After
術後

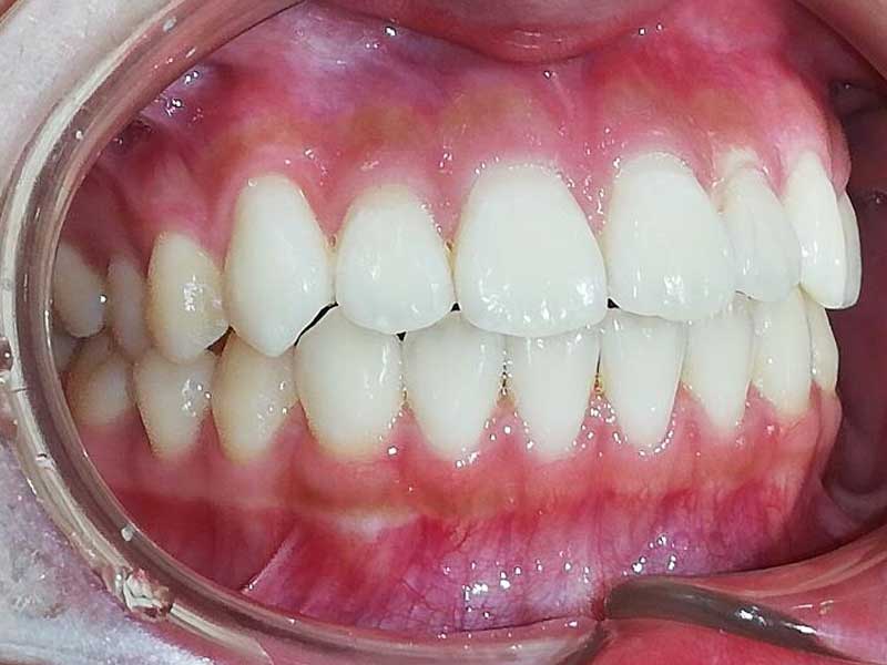
Before
歯の色:A3.5

After
歯の色:A1
Medical expenses
※治療に関する価格は治療当時の価格です。現在の価格と異なる場合があります。
| オフィスホワイトニング | 上下顎 45,000円(税込み) |
|---|---|
| 治療期間 | 約1ヶ月 受診回数:3回 |
Risks and side effects
Doctor's findings
歯科健診からホワイトニングへ
未成年の患者さんが、親御さんと一緒に歯科健診で来院されました。
診察の結果、ご本人も気づかないうちに奥歯に小さな虫歯できていました。幸い早期の発見だったため短期間の治療で無事に完了しました。
その後、以前から気にされていたホワイトニングをご希望されました。
3回のオフィスホワイトニングを行った結果、歯の色は A3.5 → A1 まで明るく白く改善。
施術中もしみたり痛みが出ることはなく、自然で健康的な白さになりました。
治療後は「思った以上にきれいになった!」とご本人もご家族もとても喜ばれていました。
診療予約・お問い合わせ
診療時間内(木・日・祝日休)
※祝日のある週の木曜は診療いたします。
| 診療時間 | 月 | 火 | 水 | 木 | 金 | 土 | 日 |
| 9:00~ 12:30 |
● | ● | ● | / | ● | ● | / |
| 14:30~ 18:30 土曜は18:00迄 |
● | ● | ● | / | ● | ▲ | / |
| 診療時間 | 月 | 火 | 水 | 木 | 金 | 土 | 日 |
| 9:00~12:30 | ● | ● | ● | / | ● | ● | / |
| 14:30~18:30 土曜は18:00迄 |
● | ● | ● | / | ● | ▲ | / |
058-391-2122/診療時間内(木・日・祝日休)
※祝日のある週の木曜は診療いたします。