治療例
【左】術前 【右】術後
中央のバーを左右に動かすと比較できます

Before
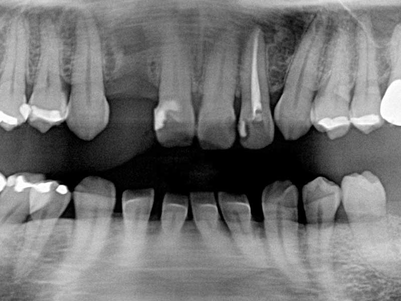
術前(レントゲン写真)

After
術後(レントゲン写真)

Before
術前(上顎)

After
術後(上顎)

Before
術前(正面)

After
術後(正面)

Before
術前(右)

After
術後(右)
Medical expenses
※治療に関する価格は治療当時の価格です。現在の価格と異なる場合があります。
| インプラント+かぶせもの | 300,000円(税込) |
|---|---|
| 治療期間 | 6ヶ月 受診回数:8~10回 |
Risks and side effects
インプラント治療について近年技術が確立され、またCTによる診断によってリスクは減少しております。
診療予約・お問い合わせ
診療時間内(木・日・祝日休)
※祝日のある週の木曜は診療いたします。
| 診療時間 | 月 | 火 | 水 | 木 | 金 | 土 | 日 |
| 9:00~ 12:30 |
● | ● | ● | / | ● | ● | / |
| 14:30~ 18:30 土曜は18:00迄 |
● | ● | ● | / | ● | ▲ | / |
| 診療時間 | 月 | 火 | 水 | 木 | 金 | 土 | 日 |
| 9:00~12:30 | ● | ● | ● | / | ● | ● | / |
| 14:30~18:30 土曜は18:00迄 |
● | ● | ● | / | ● | ▲ | / |
058-391-2122/診療時間内(木・日・祝日休)
※祝日のある週の木曜は診療いたします。